
Cosmetic Dentistry




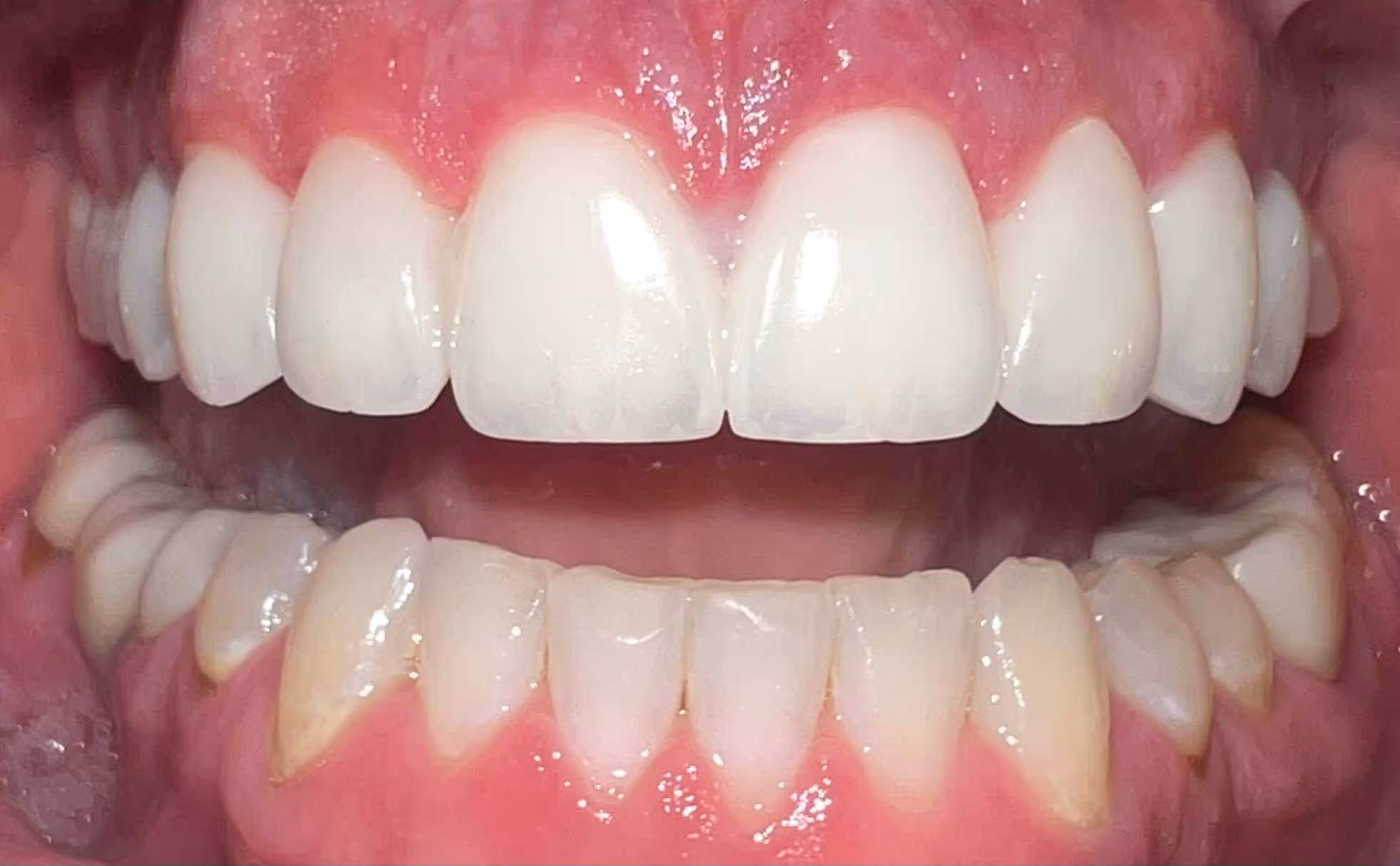
Cosmetic Crowns
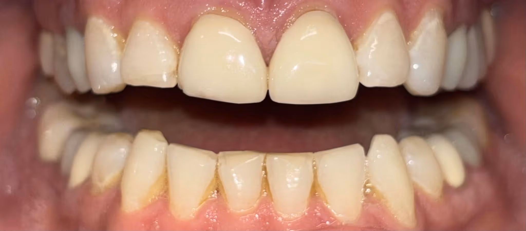
Emax crowns on teeth 5-12 provided durable, natural-looking restorations with exceptional aesthetics.




Cosmetic Veneer
Four new anterior crowns replaced existing restorations, completely renewing the smile and boosting confidence.




Cosmetic Veneers
Years of chipping and wear were addressed with 8 anterior veneers, creating remarkable smile transformation.




Cosmetic Veneers
Multiple broken front teeth were completely restored with 8 anterior crowns, rebuilding both function and confidence.




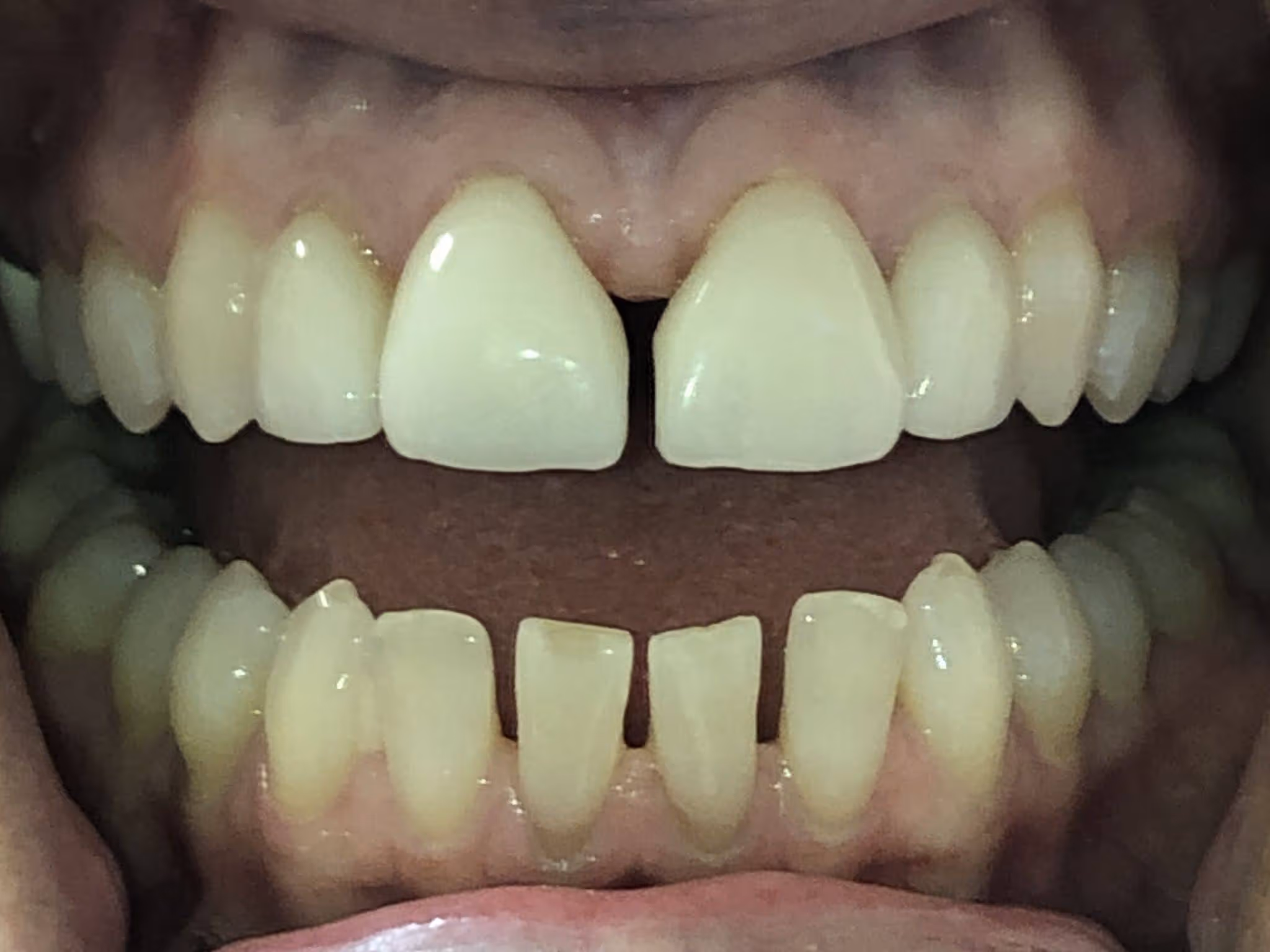
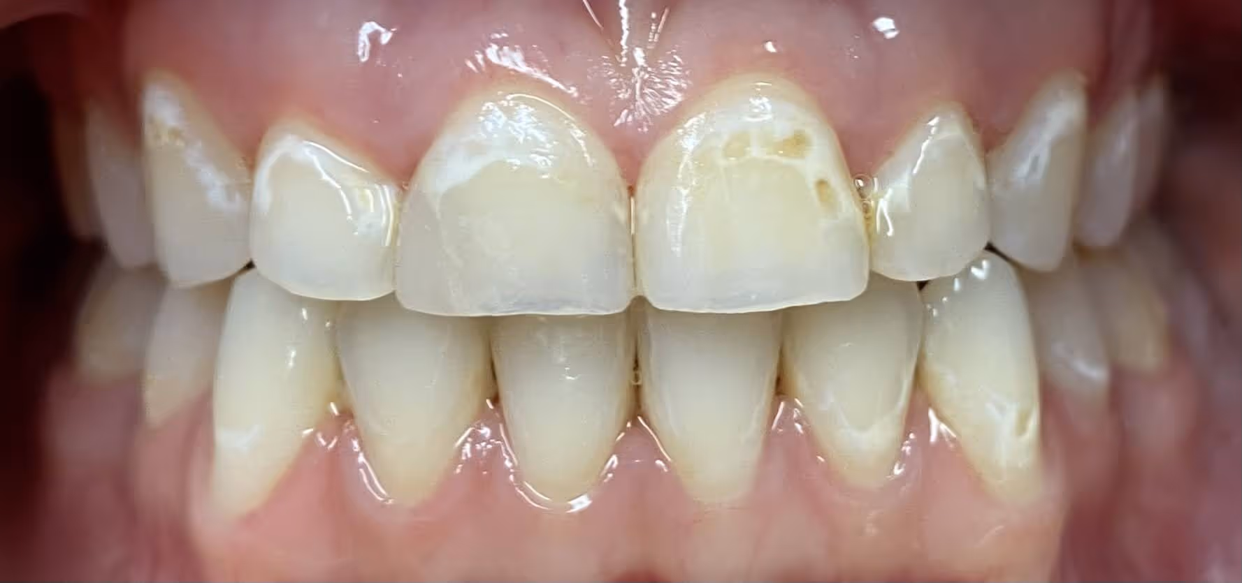
Cosmetic Fillings
Premium Emax veneers on the two front teeth achieved natural, beautiful enhancement with superior materials.




Combo Invisalign / Veneer
Veneers spanning teeth 5-12 created a beautiful, uniform smile across the entire aesthetic zone.




Emax veneers
Facial composite restorations on the canine and second premolar enhanced both appearance and function naturally.




Invisalign
Consistent progress through Invisalign treatment shows beautiful results.




Invisalign / Crowns
Severe tooth wear was overcome through comprehensive treatment including Invisalign and full mouth rehabilitation.




Invisalign / Veneers
Comprehensive treatment combining Invisalign with 8 anterior veneers achieved ideal smile results.




Invisalign / Veneers
Two-phase treatment combining Invisalign alignment with cosmetic veneers delivered the perfect dream smile.




Invisalign / Veneers
Combining Invisalign orthodontics with 8 cosmetic veneers created this stunning smile transformation.




Invisalign
Clear aligner treatment beautifully transformed the smile, achieving excellent alignment and renewed confidence.




Invisalign
Invisalign treatment successfully delivered the straight, beautiful smile our patient always wanted.




Invisalign
Invisalign clear aligner therapy achieved remarkable alignment and a confident new smile.




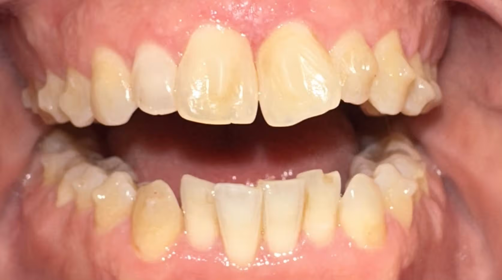
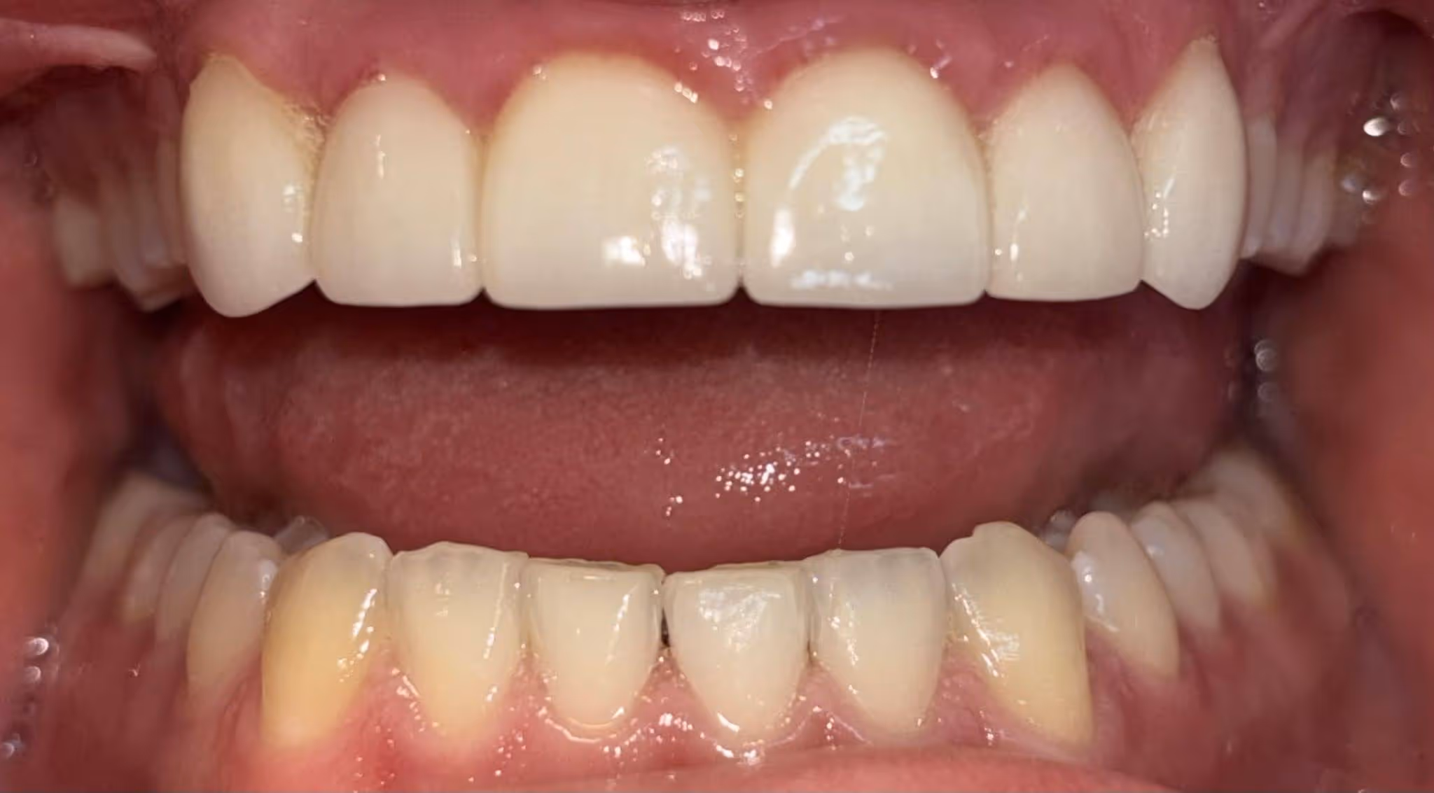
Veneers
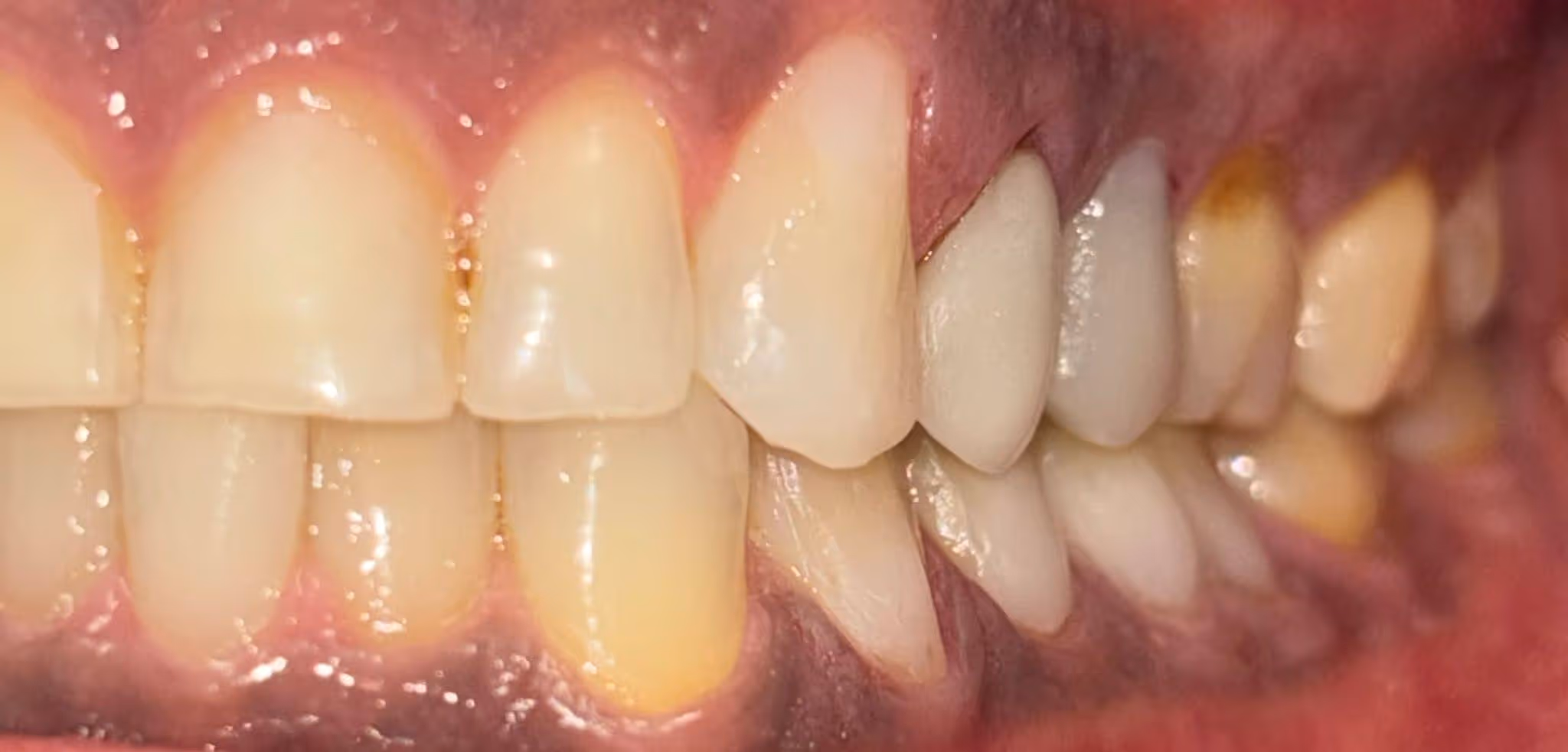
Dr. Forbes replaced 6 anterior veneers to address both a broken restoration and size concerns, achieving beautiful natural results.




Veneers
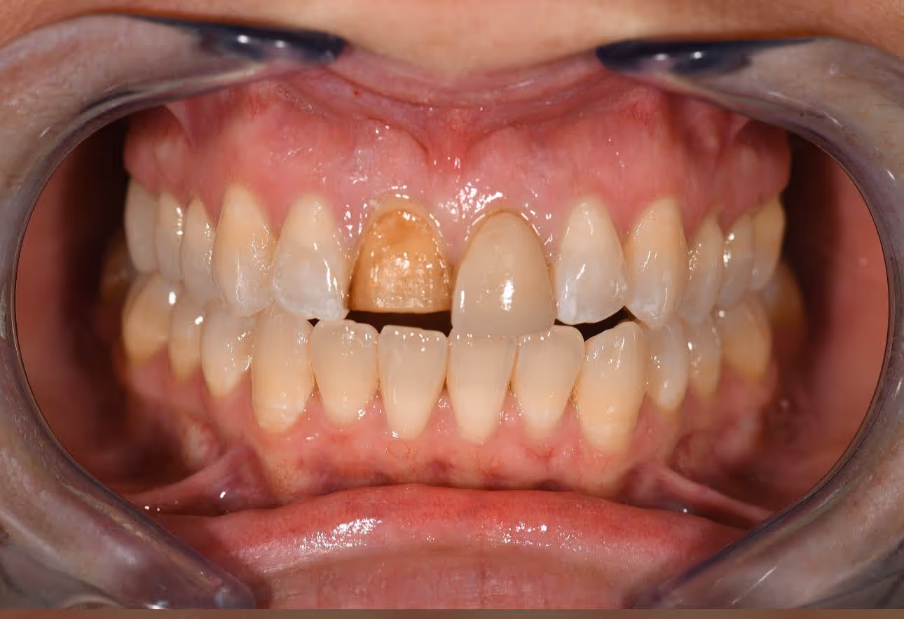
A chipped front tooth was seamlessly repaired using a cosmetic veneer, restoring natural appearance.




Veneers
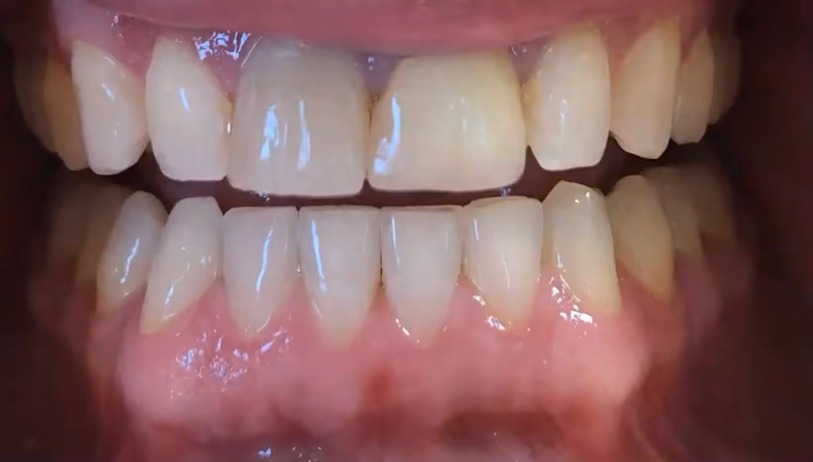
Cosmetic veneers enhanced the natural beauty of the smile with stunning, lifelike results.
Restorative Dentistry



Anterior filling
An anterior composite filling perfectly restored symmetry and natural appearance to the front tooth.



Dental bridge
A beautiful 6-unit bridge restored this smile, bringing back natural function and confidence to the front teeth.



Full Mouth Rehab
A comprehensive full mouth rehabilitation completely transformed both oral health and smile aesthetics.



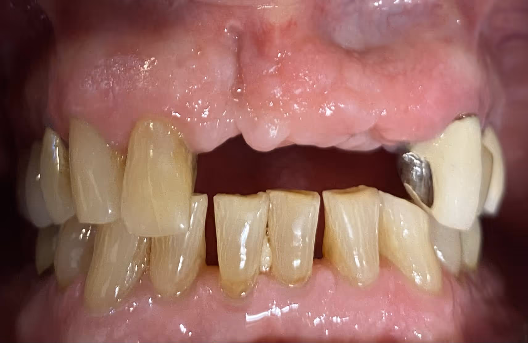
Implants
After addressing bone loss and removing compromised teeth, strategic implant placement fully restored the missing teeth.



Implants
Dental implants provided a permanent, natural-looking solution to replace missing teeth and restore full function.